NOVEDOSO TRATAMIENTO CONTRA LOS GLIOBLASTOMAS

Los resultados de este nuevo tratamiento fueron exitosos en un paciente de 50 años y lograron la total remisión de un tumor cerebral. Un año más tarde sigue vivo cuando en su momento solomente le quedaban unas semanas de vida.

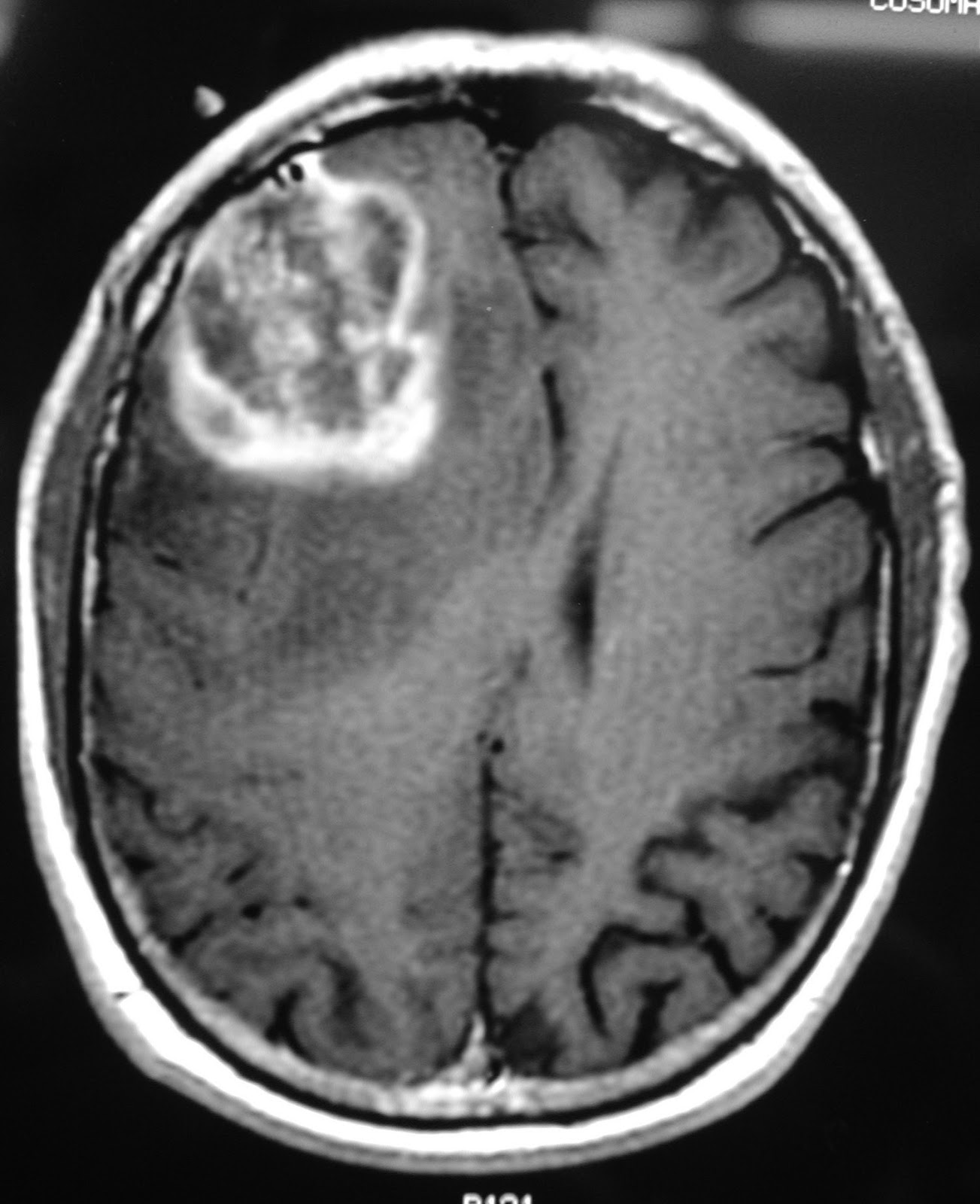
Hablamos de un tratamiento con inmunoterapia en el que las células inmunológicas son reeducadas para combatir un tipo de tumor cerebral específico llamado glioblastoma que se caracteriza por ser muy agresivo y que en este caso persistía después de haberlo tratado con cirugía, radiación y quimioterapia.

El cáncer es una enfermedad en la que las células sanas, que son las que realizan todas sus funciones correctamente, son reemplazadas por otras que son las células del cáncer o cancerígenas. Estas ocasionan problemas en la zona en la que se están desarrollando, además estas células se extienden. A esta propagación la llamamos metástasis.

En este caso hablamos de un glioblastoma, es un tipo de glioma, un tumor que nace de las células de soporte del tejido cerebral. En el paciente, el cáncer se había propagado.

Debido a las pocas opciones decidieron emplear este novedoso tratamiento en el que se emplean los propios mecanismos de defensa del cuerpo para acabar con el cáncer. Estas células son las células T, que son glóbulos blancos que atacan directamente a antígenos extraños. Fueron extraídas a través de una muestra de sangre. La modificación consiste en "enseñarles" a reconocer el glioblastoma como una amenaza mediante una proteína. Después de esto las células se someten a cultivo.

El proceso consistió en retirar con cirugía la mayor parte del tumor y después introducir las células modificadas que consiguieron parar el desarrollo de el glioblastoma.

Pero el cáncer volvió y otra vez se aplicó el tratamiento pero con un pequeño cambio, las células fueron directamente inyectadas en los ventrículos del cerebro, lo cual es muy arriesgado pero dió resultados. El tumor no solo se redujo sino que también se ha remitido, esto ocurrió en solo un año.

Este tratamiento es excepcional pues a este paciente le dijeron que solo le quedaban unas semanas de vida. Gracias a los grandes médicos que lo trataron ha conseguido llegar a los 8 meses y todavía sigue luchando.

El tratamiento ha sido probado en otras 9 personas, esperamos que sea igual de exitoso en ellos pues esto significaría un gran avance en la inmunoterapia.

El médico que dirige este tratamiento se llama Behnam Badie (foto) y está relacionado con la enfermedad pues su padre murió de un glioblastoma.

Fuentes: Tendencias de la salud, El ciudadano, EU, T47American cancer society

Comentarios